Glioma/Glioblastoma


A glioma is a tumor that arises from supportive cells in the brain called glia. Gliomas are the most common primary brain tumors in adults. They range from benign ("low-grade") tumors that can be cured with removal to malignant ("high-grade") tumors. Glioblastoma (also referred to as GBM) is the tumor that Senators John McCain and Ted Kennedy had, for example. 

Treatment for a glioma usually begins with confirming the diagnosis with a biopsy or tumor removal. The appearance of a tumor on an MRI can give us clues about what it is, but there is no substitute for a tissue sample, which allows a pathologist to perform detailed genetic analysis of the tumor. Sometimes I perform a minimally invasive biopsy with just a needle; other times, I remove as much as possible of the tumor with a craniotomy. This choice depends on factors such as the location and size of the tumor, whether it is growing in one or more than one spot in the brain, as well as the general health of the patient. A craniotomy with brain mapping may be needed depending on the location of the glioma.

I have a particular interest in caring for patients with gliomas and glioblastomas. If you or a family member is affected, please consider meeting me in consultation to learn more.

 
Photographs and MRI and CT scans from a Gamma Tile implant performed for recurrent glioma (glioblastoma or GBM)
Craniotomy for removal of a left frontal high grade glioma (glioblastoma or GBM)
 
 
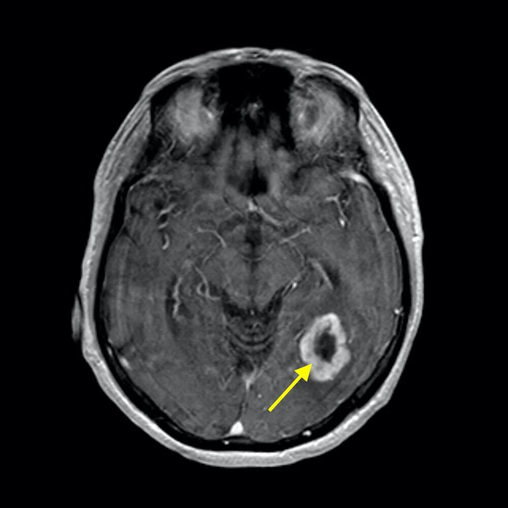
MRI scan from a patient with left temporal-occipital high grade glioma (glioblastoma or GBM)
Photographic image and MRI scan from a patient with a large right frontal glioma causing mass effect and midline shift. The tumor had a large cystic component.